Skip to content
PHÒNG KHÁM SẢN PHỤ KHOA BÁC SỸ DIỆPPHÒNG KHÁM SẢN PHỤ KHOA BÁC SỸ DIỆP
  • TRANG CHỦ
  • VỀ CHÚNG TÔI
  • CHUYÊN KHOA
    • Phụ khoa
    • Sản khoa
    • Siêu âm
    • Xét nghiệm
  • TƯ VẤN
    • Vô sinh
    • Tầm soát, chích ngừa
  • TIN TỨC
  • LIÊN HỆ

Trang chủ » SIÊU ÂM » Trang 2

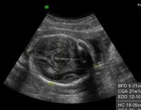
Đường kính lưỡng đỉnh thai 37 tuần bao nhiêu là bình thường?

Đường kính lưỡng đỉnh thai 37 tuần là chỉ số quan trọng cho biết tình trạng của thai nhi. Trong tuần cuối thai kỳ, mọi biểu hiện của thai nhi đều cần được theo dõi cụ thể. Vậy thai nhi có chỉ số đường kính...

Đường kính lưỡng đỉnh thai 38 tuần bao nhiêu là bình thường

Đường kính lưỡng đỉnh thai 38 tuần và những chỉ số liên quan là những điều mà mẹ cần đặc biệt lưu ý trong giai đoạn này để quan sát sự phát triển của bé. Vậy chỉ số đường kính lưỡng đỉnh thai trong tuần...

Soi cổ tử cung và những điều chị em phụ nữ cần biết

Soi cổ tử cung là một trong những biện pháp thăm khám phụ khoa thường gặp. Thông thường đây là phương pháp khám bệnh đa số chị em phụ nữ đều sẽ phải trải qua. Vậy rốt cuộc soi tử cung để làm gì? có...

Nguyên nhân siêu âm không thấy thai và những điều cần lưu ý

Nhiều bà mẹ lo lắng và muốn biết nguyên nhân siêu âm không thấy thai là gì khi thử thai vẫn hiện lên 2 vạch. Vậy lý do từ đâu và khi siêu âm không thấy túi thai mẹ phải xử lý như thế nào?...

Siêu âm thai 8 tuần có gì đáng chú ý, bé phát triển thế nào

Siêu âm thai 8 tuần thường là buổi đi khám đầu tiên của mẹ sau khi biết mình đã mang thai, nó sẽ giúp mẹ đánh giá tổng quan sự phát triển của bé. Mẹ hãy xin bác sĩ những lời khuyên cần thiết để...

Siêu âm buồng trứng có thực sự cần thiết cho nữ giới?

Siêu âm buồng trứng là một trong những phương pháp được nhiều người lựa chọn khi đi khám phụ khoa. Kỹ thuật này giúp nữ giới phát hiện được nhiều bệnh lý nguy hiểm liên quan đến buồng trứng, tử cung. Tuy nhiên, nhiều người...

Tổng quan về kỹ thuật siêu âm 4D và những vấn đề liên quan

Siêu âm 4D là phương pháp chẩn đoán hình ảnh hiện đại, phổ biến trong lĩnh vực y học hiện nay. Kỹ thuật giúp quan sát trực tiếp các hoạt động của thai nhi, đồng thời hỗ trợ phát hiện những dị tật sớm ở...

Siêu âm nhiều có tốt cho thai nhi không? Địa chỉ siêu âm uy tín

Siêu âm nhiều có tốt cho thai nhi không hẳn là điều mà nhiều mẹ bầu khi mang thai lần đầu đều băn khoăn, lo lắng. Để giải đáp cho câu hỏi này, hãy để bác sĩ Phạm Thị Ngọc Điệp – BS.CKII sản phụ...

Phát hiện có thai mấy tuần thì đi siêu âm được?

Phát hiện có thai mấy tuần thì đi siêu âm được? Nên siêu âm ở đâu lần đầu tiên để đảm bảo an toàn cho bé? Đây chắc hẳn là những câu hỏi mà bạn đang quan tâm nhất khi phát hiện có thai đúng...

Khi có bầu siêu âm nhiều có hại cho thai nhi không?

Siêu âm nhiều có hại cho thai nhi không chắc hẳn đang là vấn đề mà bạn quan tâm nhất khi bắt đầu mang thai? Đừng quá lo lắng mà hay tham khảo những chia sẻ từ các bác sĩ chuyên khoa để được giải...

  • 1
  • 2
  • 3
  • 4
  • 5
  • 6
Hỗ trợ nhanh
0335 155 192 icon zalo
0913 662 553 icon zalo
Bài viết mới
ung thư thân tử cung
Ung thư thân tử cung
Nguyên nhân vô sinh
Các bước cơ bản khi kiểm tra vô sinh
Đau do u nang buồng trứng
Ảnh hưởng u nang buồng trứng đến khả năng mang thai
Cao huyết áp khi mang thai
Bác sĩ giải đáp về cao huyết áp khi mang thai
Bác sĩ giải thích huyết trắng ở phụ nữ
kham-noi-khoa
Lợi ích của việc khám thai định kỳ
Polyp cổ tử cung và tử cung là gì
Ra huyết bất thường
Ra huyết khi có thai

PHÒNG KHÁM SẢN PHỤ KHOA

BS - CKII: Phạm Thị Ngọc Điệp

Địa chỉ: 271 Nguyễn Duy Dương, Phường 4, Quận 10

Email: bsdiepbvtudu@gmail.com

Hotline: 0335 155 192

Website: SanPhuKhoaTuDu-BsDiep.com

Fanpage: fb.com/SanPhuKhoaTuDu.bsdiep

DỊCH VỤ

Dịch Vụ Khám Thai

Dịch Vụ Siêu Âm

Dịch Vụ Khám Phụ Khoa

Dịch Vụ Điều Trị Vô Sinh

Dịch Vụ Tầm Soát Ung Thư Vú, Ung Thư Cổ Tử Cung

LỊCH KHÁM

Từ T2 đến T6: 17h đến 20:30h

Sáng T7: 7:30h đến 10:30h

Chủ Nhật: 17h đến 20h

2023 PHÒNG KHÁM SẢN PHỤ KHOA BS PHẠM THỊ NGỌC ĐIỆP
  • TRANG CHỦ
  • VỀ CHÚNG TÔI
  • CHUYÊN KHOA
    • Phụ khoa
    • Sản khoa
    • Siêu âm
    • Xét nghiệm
  • TƯ VẤN
    • Vô sinh
    • Tầm soát, chích ngừa
  • TIN TỨC
  • LIÊN HỆ