Skip to content
PHÒNG KHÁM SẢN PHỤ KHOA BÁC SỸ DIỆPPHÒNG KHÁM SẢN PHỤ KHOA BÁC SỸ DIỆP
  • TRANG CHỦ
  • VỀ CHÚNG TÔI
  • CHUYÊN KHOA
    • Phụ khoa
    • Sản khoa
    • Siêu âm
    • Xét nghiệm
  • TƯ VẤN
    • Vô sinh
    • Tầm soát, chích ngừa
  • TIN TỨC
  • LIÊN HỆ

Trang chủ » SIÊU ÂM

Tư vấn: Siêu âm thai 7 tuần có quan trọng hay không?

Siêu âm thai 7 tuần cực kỳ quan trọng đối với sự phát triển của thai nhi. Đây là mốc thời gian đầu tiên mà mẹ cần lưu ý về sự phát triển của phôi thai cũng như tình hình của mẹ bầu. Từ đó...

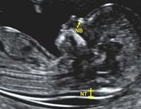
Đo độ mờ da gáy là gì và ý nghĩa khi thực hiện trong thai kỳ

Một trong những kiểm tra cần thiết trong thai kỳ mẹ cần thực hiện là đo độ mờ da gáy. Việc đánh giá thai nhi có nguy cơ bị bệnh Down hay không chính là nhờ vào phương pháp này. Tuy nhiên, tính chính xác...

Độ mờ da gáy 1.5 khi thai 12 tuần có bình thường không?

Độ mờ da gáy 1.5 có phải là chỉ số bình thường không khi thai được 12 tuần tuổi. Đây là bước siêu âm thai quan trọng trong 3 tháng đầu mà mẹ bầu cần thực hiện để chẩn đoán các dị tật bẩm sinh...

Độ mờ da gáy 1.3 mm có bình thường không và đáp án

Độ mờ da gáy 1.3 mm có bình thường không là điều mà mẹ bầu nào cũng lo lắng. Bởi độ mờ da gáy là yếu tố quyết định liệu bé có mắc bệnh Down hay các dị tật bẩm sinh khác không. Hãy cùng...

Không đo độ mờ da gáy có sao không? Đo độ mờ da gáy là gì?

Siêu âm đo độ mờ da gáy là gì? Không đo độ mờ da gáy có sao không? Đây là điều mà nhiều thai phụ đã và đang thắc mắc. Để giải đáp, bài viết sau đây sẽ cung cấp cho bạn thông tin đầy...

Đo độ mờ da gáy có biết trai hay gái? Giải đáp chính xác nhất

Đo độ mờ da gáy có biết trai hay gái là một chủ đề đang được các mẹ bầu bàn luận nhiều. Hầu hết đối với bất cứ mẹ bầu nào đều được các bác sĩ yêu cầu đo độ mờ da gáy để phát...

Độ mờ da gáy bình thường là bao nhiêu, tại sao phải đo?

Độ mờ da gáy bình thường là bao nhiêu, tại sao bác sĩ phải đo độ mờ da gáy là những kiến thức cơ bản bạn phải nắm vững. Đây là một thông số quan trọng giúp bác sĩ xác định xem bé có khỏe...

Siêu âm thai 4 tuần tuổi có quan trọng và cần thiết không?

Siêu âm thai 4 tuần tuổi là siêu âm trong giai đoạn đầu của thai kỳ. Ở tuần tuổi này, thai nhi còn rất rất nhỏ. Nên nhiều mẹ thắc mắc liệu siêu âm thai 4 tuần tuổi có cần thiết không và có quan...

Siêu âm 4D tuần 22 mang lại những lợi ích gì cho mẹ và con?

Siêu âm 4D tuần 22 là một trong những mốc kiểm tra thai rất quan trọng mà mẹ bầu cần ghi nhớ và thực hiện. Để biết siêu âm thai 4D ở tuần 22 mang lại những lợi ích gì, có ý nghĩa như thế...

Các mốc siêu âm thai định kỳ mẹ tuyệt đối không nên bỏ lỡ

Việc ghi nhớ và thực hiện đầy đủ các mốc siêu âm thai định kỳ sẽ giúp mẹ và các bác sĩ có thể theo dõi sự phát triển của con yêu cũng như phát hiện sớm các dị tật bẩm sinh để có hướng...

  • 1
  • 2
  • 3
  • 4
  • …
  • 6
Hỗ trợ nhanh
0335 155 192 icon zalo
0913 662 553 icon zalo
Bài viết mới
ung thư thân tử cung
Ung thư thân tử cung
Nguyên nhân vô sinh
Các bước cơ bản khi kiểm tra vô sinh
Đau do u nang buồng trứng
Ảnh hưởng u nang buồng trứng đến khả năng mang thai
Cao huyết áp khi mang thai
Bác sĩ giải đáp về cao huyết áp khi mang thai
Bác sĩ giải thích huyết trắng ở phụ nữ
kham-noi-khoa
Lợi ích của việc khám thai định kỳ
Polyp cổ tử cung và tử cung là gì
Ra huyết bất thường
Ra huyết khi có thai

PHÒNG KHÁM SẢN PHỤ KHOA

BS - CKII: Phạm Thị Ngọc Điệp

Địa chỉ: 271 Nguyễn Duy Dương, Phường 4, Quận 10

Email: bsdiepbvtudu@gmail.com

Hotline: 0335 155 192

Website: SanPhuKhoaTuDu-BsDiep.com

Fanpage: fb.com/SanPhuKhoaTuDu.bsdiep

DỊCH VỤ

Dịch Vụ Khám Thai

Dịch Vụ Siêu Âm

Dịch Vụ Khám Phụ Khoa

Dịch Vụ Điều Trị Vô Sinh

Dịch Vụ Tầm Soát Ung Thư Vú, Ung Thư Cổ Tử Cung

LỊCH KHÁM

Từ T2 đến T6: 17h đến 20:30h

Sáng T7: 7:30h đến 10:30h

Chủ Nhật: 17h đến 20h

2023 PHÒNG KHÁM SẢN PHỤ KHOA BS PHẠM THỊ NGỌC ĐIỆP
  • TRANG CHỦ
  • VỀ CHÚNG TÔI
  • CHUYÊN KHOA
    • Phụ khoa
    • Sản khoa
    • Siêu âm
    • Xét nghiệm
  • TƯ VẤN
    • Vô sinh
    • Tầm soát, chích ngừa
  • TIN TỨC
  • LIÊN HỆ