Đường kính lưỡng đỉnh thai 37 tuần bao nhiêu là bình thường?

Đường kính lưỡng đỉnh thai 37 tuần là chỉ số quan trọng cho biết tình trạng của thai nhi. Trong tuần cuối thai kỳ, mọi biểu hiện của thai nhi đều cần được theo dõi cụ thể. Vậy thai nhi có chỉ số đường kính lưỡng đỉnh bao nhiêu thì được xem là phát triển ổn định?

Đường kính lưỡng đỉnh thai là gì?

Đường kính lưỡng đỉnh (thông số BPD) là kích thước đo được tại mặt cắt lớn nhất của vùng từ trán ra sau gáy của thai nhi. Một cách đơn giản, đây chính là đường kính phần đầu thai nhi. Phương pháp siêu âm được áp dụng để xác định đường kính lưỡng đỉnh thai.

Đường kính lưỡng đỉnh thai 37 tuần
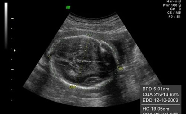
Siêu âm xác định đường kính lưỡng đỉnh thai

Khi thai bước vào tuần thứ 13 trở đi, mẹ bầu có thể siêu âm để biết các chỉ số đường kính lưỡng đỉnh, chi vi đầu, chiều dài xương,…của thai nhi. Trong suốt thai kỳ, đường kính lưỡng đỉnh thai thay đổi rất nhanh. Đường kính lưỡng đỉnh thai 37 tuần là một chỉ số quan trọng biểu hiện tình trạng thai nhi ở giai đoạn chuẩn bị chào đời.

Đường kính lưỡng đỉnh thai cùng với các chỉ số khác là căn cứ để xác định trọng lượng, tuổi thai và tốc độ phát triển hiện tại của thai nhi. Khi siêu âm và nhận thấy đường kính lưỡng đỉnh không đạt chuẩn, bác sĩ có thể yêu cầu tiến hành các xét nghiệm khác để kiểm tra dấu hiệu bất thường ở thai nhi. Chỉ số đường kính lưỡng đỉnh phải trong một giới hạn nhất định. Nếu đường kính lớn đồng nghĩa với phần đầu của thai lớn sẽ gây khó khăn cho mẹ bầu khi sinh.

Đường kính lưỡng đỉnh lớn sẽ gây khó khăn cho người mẹ khi sinh
Đường kính lưỡng đỉnh lớn sẽ gây khó khăn cho người mẹ khi sinh

Chỉ số đường kính lưỡng đỉnh thai 37 tuần bình thường

Thai nhi phát triển đến tuần thứ 37 đang bước vào một giai đoạn quan trọng đó là chuẩn bị chào đời. Ở thời điểm này, thai cần được theo dõi thường xuyên. Thông qua các chỉ số kích thước thai, bác sĩ sẽ có kết luận về tình hình hiện tại của thai nhi. Nếu các chỉ số không đạt tiêu chuẩn, mẹ bầu cần có chế độ chăm sóc sức khoẻ tốt hơn.

Chỉ số thai nhi 37 tuần, 37 tuần 1 ngày

Đường kính lưỡng đỉnh thai 37 tuần 1 ngày bình thường khoảng 86-94 mm. Đường kính trung bình 90 mm là tốt nhất, cho thấy thai nhi phát triển ổn định. Các chỉ số khác ở thời điểm này như sau:

– Chiều dài phần xương đùi của thai: 66-67 mm.

– Kích thước chu vi phần đầu: 314-352 mm

– Kích thước chu vi phần bụng: 285-376 mm

– Trọng lượng thai ước tính: 2513-3546 g

Chỉ số thai nhi 37 tuần 2 ngày

Đường kính lưỡng đỉnh thai 37 tuần 2 ngày vẫn duy trì mức bình thường khoảng 86-94mm. Một vài chỉ số khác đã có sự thay đổi như sau:

– Chiều dài xương đùi: 66-67 mm

– Kích thước chu vi phần đầu: 315-353 mm

– Kích thước chu vi phần bụng: 288-376 mm

– Trọng lượng thai ước tính: 2538-3578 g

Chỉ số thai nhi 37 tuần 3 ngày

Đường kính lưỡng đỉnh thai 37 tuần 3 ngày đạt chuẩn là trong khoảng 85-97 mm và mức trung bình tốt nhất là 91 mm. Các chỉ số khác như sau:

– Chiều dài phần xương đùi: 66-80 mm

– Kích thước chu vi phần đầu: 315-354 mm

– Kích thước chu vi phần bụng: 290-375 mm

– Trọng lượng ước tính: 2562-3612 g

Đường knih1 lưỡng đỉnh

Chỉ số thai nhi 37 tuần 4 ngày

Đường kính lưỡng đỉnh thai 37 tuần 4 ngày sẽ duy trì ở mức 85-97 mm. Những chỉ số kích thước khác:

– Chiều dài phần xương đùi: 66-80 mm

– Kích thước chu vi phần đầu: 316-355 mm

– Kích thước chu vi phần bụng: 292-374 mm

– Trọng lượng thai ước tính: 2587-3647 g

Chỉ số thai nhi 37 tuần 5 ngày

Thai nhi được 37 tuần 5 ngày có đường kính lưỡng đỉnh bình thường khoảng 85-97 mm. Những chỉ số khác của thai nhi như sau:

– Chiều dài xương đùi: 66-80 mm

– Kích thước chu vi phần đầu: 318-356 mm

– Kích thước chu vi phần bụng: 297-373 mm

– Trọng lượng thai ước tính: 2637-3751 g

Chỉ số thai nhi 37 tuần 6 ngày

Đường kính lưỡng đỉnh thai 37 tuần 6 ngày trong khoảng 86-98 mm và kích thước ổn định nhất là 92 mm. Những chỉ số khác được siêu âm:

– Chiều dài phần xương đùi: 67-81 mm

– Kích thước chu vi phần bụng: 300-372 mm

– Kích thước chu vi phần đầu: 318-357 mm

– Trọng lượng thai ước tính: 2661-3751 g

Đường kính lưỡng đỉnh của thai nhi ở tuần 13 đến tuần 40 của thai kỳ luôn trong mức từ 88-100 mm. Tại tuần 37 của thai kỳ, đường kính lưỡng đỉnh không vượt quá 94 mm. Nếu qua siêu âm kiểm tra cho thấy đường kính lưỡng đỉnh quá lớn thì có nguy cơ gây trở ngại cho mẹ bầu khi sinh. Ngược lại nếu đường kính lưỡng đỉnh quá nhỏ tức là thai chậm phát triển hơn bình thường.

Cogn6 thức tính

Các chỉ số khác đáng chú ý ở tuần 37 của thai kỳ

Ngoài đường kính lưỡng đỉnh thai 37 tuần, thời điểm này còn cần lưu ý đến một vài chỉ số khác, trong đó có chỉ số nước ối. Thời gian từ tuần thứ 32-37 của thai kỳ, lượng nước ối đạt yêu cầu là 800-1000 ml. Giai đoạn cuối thai kỳ sẽ xuất hiện tình trạng rỉ nước ối. Đây là dấu hiệu bình thường báo hiệu thời gian chuyển dạ sắp đến gần, mẹ bầu cần lưu ý.

Vào tuần thứ 37, trọng lượng của thai nhi trung bình khoảng 2.8 kg và có chiều dài khoảng 49-50 cm. Dựa vào đường kính lưỡng đỉnh, bác sĩ cũng có thể xác định được tương đối trọng lượng của thai nhi.

Thai nhi 37 tuần tuổi đã bước vào giai đoạn quan trọng, chuẩn bị ra đời. Lúc này thai đã có khả năng dần thích nghi với môi trường bên ngoài bụng mẹ.. Trong thời gian từ tuần 32 trở đi, mẹ bầu cần chú ý thăm khám thường xuyên hơn để theo dõi tình hình thai nhi cũng như dự tính thời điểm sinh chính xác nhất.

Phương pháp giúp ích cho sự phát triển ổn định của thai nhi

Đường kính lưỡng đỉnh thai 37 tuần nếu không đạt tiêu chuẩn tức là thai có tốc độ phát triển chậm hoặc gặp vấn đề bất thường. Đường kính lưỡng đỉnh quá lớn cũng là một vấn đề đáng lo ngại. Vậy làm thế nào để thai phát triển ổn định, có đường kính lưỡng đỉnh đạt mức tiêu chuẩn? Mẹ bầu cần tham khảo những lưu ý sau:

Có chế độ dinh dưỡng hợp lý

Chế độ dinh dưỡng trong thai kỳ vô cùng quan trọng. Để thai nhi phát triển bình thường, mẹ bầu cần tuân theo chế độ ăn uống cân đối các nhóm chất: tinh bột, đạm, chất béo, vitamin và khoáng chất. Nên tăng cường bổ sung đạm từ các thực phẩm: thịt, cá, trứng, hải sản,…để giúp ích cho sự phát triển của thai nhi.

Bên cạnh đó, mẹ bầu nên ăn các loại rau củ quả tươi, giàu vitamin để tăng cường sức đề kháng. Mẹ cầu còn cần chú trọng bổ sung thêm chất sắt và canxi để tránh thiếu máu và giúp thai phát triển khung xương chắc khoẻ.

Nghỉ ngơi điều độ, thăm khám định kỳ

Giai đoạn thai kỳ, nhất là những tuần cuối cùng có ảnh hưởng rất quan trọng đến thai nhi. Mẹ bầu nên duy trì chế độ nghỉ ngơi và chăm sóc sức khoẻ điều độ, khoa học. Theo định kỳ, mẹ bầu cần đến gặp bác sĩ để siêu âm tình trạng thai. Quá trình siêu âm sẽ cho biết các chỉ số quan trọng như đường kính lưỡng đỉnh thai, trọng lượng thai, dấu hiệu bất thường nếu có. Thăm khám là cách tốt nhất giúp theo dõi sự phát triển của thai nhi.

Địa chỉ siêu âm thai
Siêu âm tình trạng thai nhi

Tiêm phòng đầy đủ

Thai nhi từ 20 tuần tuổi trở lên thì mẹ bầu cần tiêm phòng uốn ván đầy đủ. Các bệnh lý, dị tật bất thường là nguyên nhân khiến những chỉ số của thai nhi không đạt tiêu chuẩn. Tiêm phòng là biện pháp hiệu quả nhất giúp bảo vệ người mẹ và em bé khỏi các bệnh lý nguy hiểm.

Đường kính lưỡng đỉnh thai 37 tuần đạt chuẩn thông thường không vượt quá 94 mm. Ở giai đoạn này, mẹ bầu hãy chú ý hơn đến việc chăm sóc sức khoẻ và thăm khám thường xuyên để phát hiện kịp thời những dấu hiệu bất thường ở thai nhi.